
Welcome to Modesto Maxillofacial Radiology
Welcome to Modesto Maxillofacial Radiology



We are one of the most advanced imaging centers in the state of California, providing images of the face, teeth and jaw. We utilize Coned Beam CT, static images-Cephalometrics, Panoramic Projection, Digital Photography with Intra-oral close-up views and other standard medical, dental radiographic services.
At MMR we utilize the latest st
We are one of the most advanced imaging centers in the state of California, providing images of the face, teeth and jaw. We utilize Coned Beam CT, static images-Cephalometrics, Panoramic Projection, Digital Photography with Intra-oral close-up views and other standard medical, dental radiographic services.
At MMR we utilize the latest state of the art equipment available, which permits the lowest radiation dose possible, while producing the clearest, highest detailed images for you.
Our sterilization techniques and patient data are HIPPA compliant.
With our trained staff of over 35 years in the field helps assure individual patient attention, allowing a quick and pain free experience.
MMR has been serving the dental, medical and orthodontic communities in the Stanislaus area since 1994.
We also utilize the most prestigious Oral and Maxillofacial Radiologist in its field. Services offered for Radiographic Diagnostic Reporting include but not limited to: Implant Work-up, TMJ, Impaction/Localization study, Tissue Pathology, Airway and Sinus Evaluation.
We also work with several business that can create surgical guides for dental implant placement with dicom data created from a 3D CBCT.

Merry Hampton is the owner and x-ray technician.
She has been in the Oral and Maxillofacial Imaging field for over 35 years. She has owned Modesto Maxillofacial Radiology for the past 28+ years.
She has served on the Executive Board of Directors of [AADMRT](http://AADMRT.com) for 22 years. She wrote their newsletter “The Current" for 8
Merry Hampton is the owner and x-ray technician.
She has been in the Oral and Maxillofacial Imaging field for over 35 years. She has owned Modesto Maxillofacial Radiology for the past 28+ years.
She has served on the Executive Board of Directors of [AADMRT](http://AADMRT.com) for 22 years. She wrote their newsletter “The Current" for 8 of those years. She has hosted 6 AADMRT 3 day conventions that are held annually.
She also lectures to local Study Clubs.
Merry has volunteered at the [CDA Cares Clinics](https://www.cdafoundation.org/cda-cares) and [RAM clinics](http://ramusa.org/)
Merry is also on the Board of Directors of "Diva's and Dudes" Fighting for a Cure, Breast Cancer Awareness team.

2D services
Lateral Cephalometric
PA Cephalometric
Cephalometric Analysis/Tracing
Panoramic
California Law requires a written or
2D services
Lateral Cephalometric
PA Cephalometric
Cephalometric Analysis/Tracing
Panoramic
California Law requires a written order to be present at the time of appointment.
Download one below
Please make sure the order is signed/legible and if you have more than one location - list it next to the name.

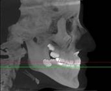
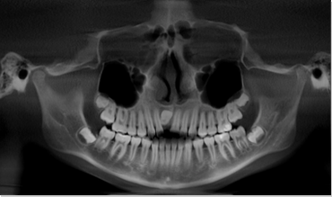
What is CBCT- Cone Beam Computer Tomography?
CBCT is a digital x-ray scanner specifically designed for scanning the head and jaws. The scanner rotates 360 degrees around the patient's head in a matter of seconds. The x-ray is a low energy fixed anode tube similarly used in panoramic machines. This method reduces radiation scatter common
What is CBCT- Cone Beam Computer Tomography?
CBCT is a digital x-ray scanner specifically designed for scanning the head and jaws. The scanner rotates 360 degrees around the patient's head in a matter of seconds. The x-ray is a low energy fixed anode tube similarly used in panoramic machines. This method reduces radiation scatter common to most conventional x-rays. The cone shaped x-ray provides 360 views that can be presented in 2D image and 3D volume for advanced planning and diagnostic support.
[Why the need for a CBCT?]
This one scan provides more images than plain film conventional imaging, with complete visualization of the patient's entire maxillofacial region. These images clearly display TM disorders, impacted teeth, critical bone and tooth relationships, oral- nasal airways, para-nasal sinus, mandibular canal and difficult to see pathologies within one volume. The user friendly software system reconstructs true size, distortion free, high resolution images.
[Why is this better for patients?]
The CBCT scanner is fast, comfortable (nothing goes in the mouth), and painless for patients. It provides a complete set of maxillofacial images with less radiation than conventional orthodontic and medical type CT work-ups. CBCT now can re-create true size cephalometric and panoramic images, virtually eliminating the need for conventional orthodontic x-rays, so your patients will be comforted by the knowledge that you have all the information needed to evaluate and plan their treatment
FOV Field of View Are options that allows us to choose the best x-ray beam size/ratio for a study.
We can isolate an area from 8cm x 8cm to as large as 23cm x 17cm. We can customize the field as well.
Voxel: We also can choose the voxel size of the scan. Voxel derives from the terms combine from Pixel and Volume. The best depiction that I can give you is a rubics cube.
The smaller the cube the higher definition of the scan. Our average scan we take is at a .25mm voxel. This allows us to make cross-sectional slicings down to .25 mm, and we typically will measure and print at 1mm. (depending on the study ordered).












1601 McHenry Village Way, #6 Modesto, California 95350, United States
Phone: 209-522-8311 Fax: 209-522-8317
Modesto Maxillofacial Radiology- off East Granger
1601 McHenry Village Way #6
209-522-8311 Fax: 209-522-8317
We use cookies to analyze website traffic and optimize your website experience. By accepting our use of cookies, your data will be aggregated with all other user data.